
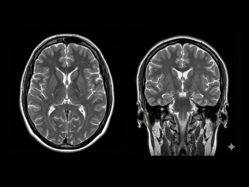
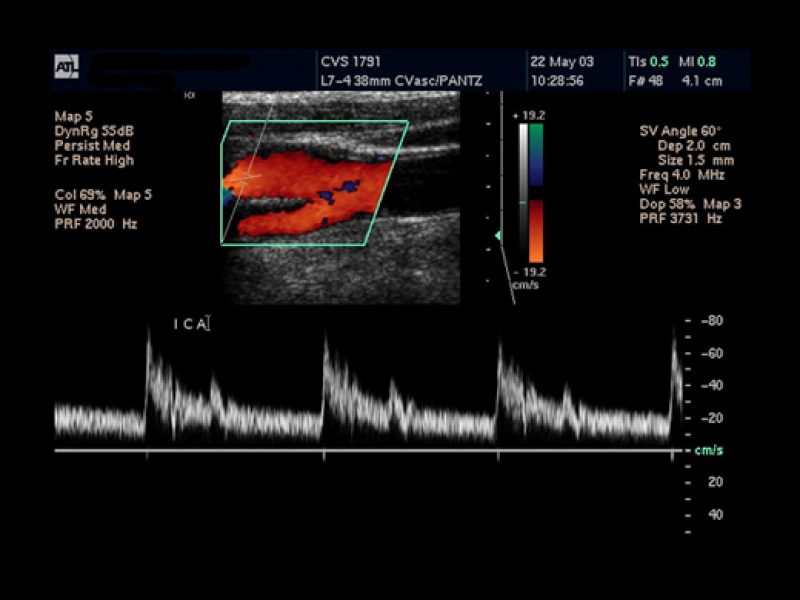
뇌졸증이란?
뇌에 혈액을 공급하는 혈관이 막히거나 터져서 뇌손상이 오고 그에 따른 신체 장애가 나타나는 뇌질환을 말합니다.
"중풍"이라고 흔히 말하며, 반신마비, 언어장애, 심하면 식물인간 또는 사망에 이르는 심각한 병으로 적절한 예방 및 치료시기를 놓치면 영구적이고 치명적인 후유증이 발생하므로 원인이 되는 위험 인자를 잘 알고 치료함으로써 뇌졸중을 예방하는 것이 무엇보다 중요합니다.
뇌에 혈액을 공급하는 혈관이 막히거나 터져서 뇌손상이 오고 그에 따른 신체 장애가 나타나는 뇌질환을 말합니다.
"중풍"이라고 흔히 말하며, 반신마비, 언어장애, 심하면 식물인간 또는 사망에 이르는 심각한 병으로 적절한 예방 및 치료시기를 놓치면 영구적이고 치명적인 후유증이 발생하므로 원인이 되는 위험 인자를 잘 알고 치료함으로써 뇌졸중을 예방하는 것이 무엇보다 중요합니다.